Tumour Proportion Score (TPS) and Combined Proportion Score (CPS)
TPS is the proportion or percentage of positive tumoral cells. The staining must be membranous. It can be partial or complete and can be of weak, moderate or strong intensity. Mainly used for NSCLC, immune cells are not taken in account and sometimes make the assessment difficult. Indeed macrophages can mimic low-grade tumoural cells. TPS is a percentage.
CPS is a fraction whose numerator is represented by the addition of PDL1 positive tumoural cells and PDL1 positive immune cells. And the denominator is the total number of tumoural cells. The fraction is multiplied by 100. If CPS is > 100, then the reported CPS is 100. Only PDL1 positive lymphocytes and macrophages are considered for the numerator. Neutrophils and plasma cells are excluded. Furthermore positive immune cells must be within the tumoural bed to be included in the numerator. As a practical rule they should be found in a 20X microscopic field with viable tumoral cells in the same field.
CPS and TPS are quite different in their approaches. Regarding the assessment TPS, one challenge is the detection of weakly stained tumoural cells. Sometimes a subset will be strongly positive and can sidetrack our focus from another weakly stained subset. Immune cells must be ignored in the TPS assessment and sometimes macrophages mimic tumoral cells and one has to review the associated H&E. CPS has different challenge. While TPS can be estimated from visual assessment of stained vs non-stained proportions, this is not possible for CPS. Indeed the “area” of immune positive cells and the “area” of tumour are de-correlated in term of cellularity.
Assessing either TPS and CPS is not straightforward. Different scenario are encountered which trigger different strategies to properly assessed this PDL1 biomarker. Here are examples of scenario
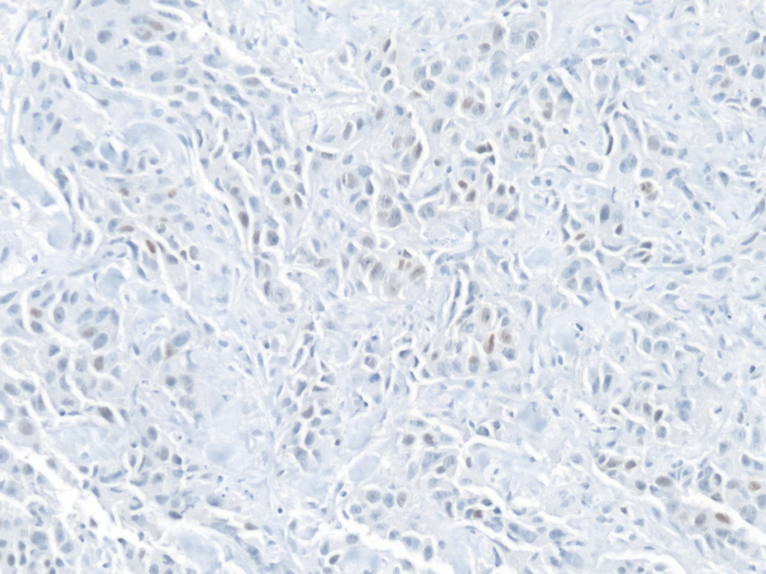
Estimating the number of cells in a microscopic field is not easy as demonstrated below (it represents a picture of breast cancer with some weakly ER positive nuclei). An open source software developed with FIJI is available to estimate the number of cells from a picture taken from your camera. A video is available to explain how to use it. https://github.com/gilbertbigras/PDL1-CPS-Denominator.
What is the total number of tumoral cells? And ER Positive?
